Pseudosubarachnoid Haemorrhage - a case discussion

Pseudosubarachnoid Haemorrhage - a case discussion
Image credit

A quick reminder that this is a discussion of what happened, not gold standard guidelines of what you should do, and that nothing here constitutes clinical advice for any cases you may see in the future.

Names and details edited for confidentiality purposes.


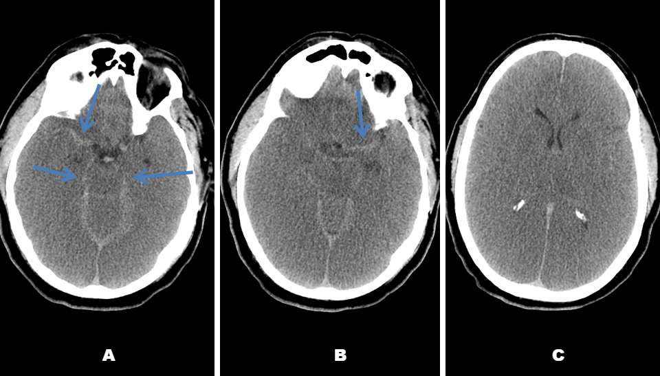
Low GCS

"Hi are you ITU?"

"Yeah, what can I do for you?"

"Got a lady with subarachnoid haemorrhage and low GCS in resus, we've referred to neurosurgery already and they're just discussing, could you see if she needs intubating?"

"Sure what's the story?"

"Normally fit and well twenty-five year old, does weight lifting four times a week, was doing a particularly heavy session this morning and collapsed unresponsive. Presumably blew an aneurysm, CT head shows subarachnoid haemorrhage and she's still around GCS 5."

"Okay, I'll wander down."

"Thanks, I've got some intubation stuff ready and they're getting ready for transfer out once the referral has gone through."